關於誼康
團隊介紹
林錫奎 醫師
張正忠 醫師
陳珮儀 醫師
林書佑 醫師
鍾思遠 醫師
陳姵璇 醫師
黃金聲 醫師
楊敏宏 醫師
應無際 醫師
張嘉凌 醫師
胡怡臻 醫師
王紹陽 醫師
劉曜華 醫師
盧建勳 醫師
陳鴻儒 醫師
服務項目
數位植牙
假牙贋復
矯正專科
全瓷美學
冷光美白
口腔外科
牙周治療
衛教專區
影片專區
案例分享
設備環境
最新消息
預約掛號
關於誼康
團隊介紹
+
–
林錫奎 醫師
張正忠 醫師
陳珮儀 醫師
林書佑 醫師
鍾思遠 醫師
陳姵璇 醫師
黃金聲 醫師
楊敏宏 醫師
應無際 醫師
張嘉凌 醫師
胡怡臻 醫師
王紹陽 醫師
劉曜華 醫師
盧建勳 醫師
陳鴻儒 醫師
服務項目
+
–
數位植牙
假牙贋復
矯正專科
全瓷美學
冷光美白
口腔外科
牙周治療
衛教專區
影片專區
案例分享
設備環境
最新消息
預約掛號
微創牙周再生-陳珮儀醫師
首頁
/
案例分享
/
微創牙周再生-陳珮儀醫師
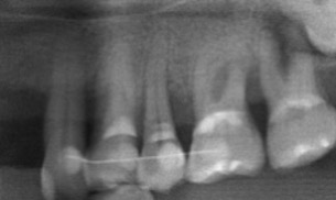
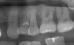
牙齒周邊因為破壞所喪失的骨頭,放置牙周再生材料,重建喪失的牙周
治療前
治療後
分享到
關閉